Navi Mumbai
08048126375
+918007999569

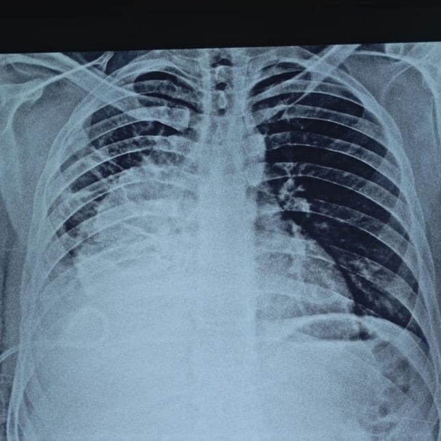
pleural effusion treatment

update image
Pleural effusion is collection of fluid around lung. Often need removal by needle insertion. Meet chest specialist for advise
 2026-02-21T05:04:21

Keywords